• HOME
  • オールオン4の症例

著者:安田 佑

オールオン4の症例

症例

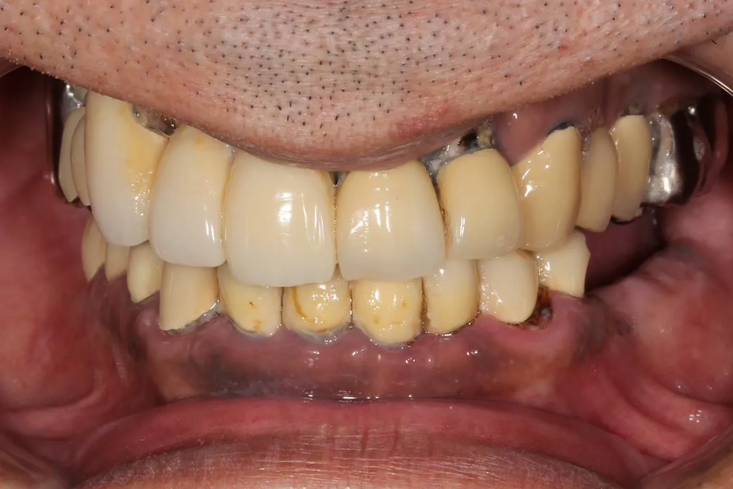
治療前

治療後

主訴 入れ歯が合わず、前歯がぐらつく、ゴルフで力が入らない
治療内容 オールオン4
治療期間 4ヶ月
費用 約600万円
治療のリスク 手術後約2週間の痛み腫れ、手術直後の出血、仮歯による違和感、神経損傷

※記載の治療はすべて自由診療(保険適用外)です。詳しい治療内容やリスクについては、診療時に担当医より詳しくご説明いたします。

関連記事

  • 関連記事はありません。
  • カテゴリ

    初めての方へ

    当院では、口腔内スキャナーにて口腔内を撮影して、現状の拡大画像をモニターに映してご説明します。

    INFORMATION

    診療時間・ご予約

    042-316-3977
    診療時間

    9:30-13:00

    14:30-18:30

    診療時間

    午前9:30-13:00/午後14:30-18:30

    休診日

    日曜祝日

                   

    初めて当院を受診される方へ

    各種保険取り扱い初診費用はおおよそ 3,000〜5,000円

    各種保険取り扱い初診費用はおおよそ
    3,000〜5,000円

    (保険適用3割負担の場合。また症状・検査内容により多少変動いたします)

    (保険適用3割負担の場合。また症状・検査
    内容により多少変動いたします)

    歯の痛みトラブルは
    お気軽にお問合わせを

    急患診療 受入中
    保険診療 各種対応

    デンタルローンについて

    デンタルローン
    について

    医療費控除について

    医療費控除
    について

    お支払いについて