当医院では、親身な医療をプロの立場で行うことが当医院の診療理念です。
患者さんに対し親身であること、プロであることを大事にしています。
親身な医療とは、大切な家族、親兄弟にしてあげたい治療です。
プロの立場とは、任された業務を専門的知識、技量をもった職業人として責任を持って行うことです。
私たちは、スタッフ各々が、もし、自分や家族に対して、やってもらいたい歯科医療とは何かを考え、
責任をもって説明、提供してゆく。そう考えて診療しております。
まるで“五ツ星ホテル”なデンタルクリニック
ラグジュアリーな院内と
やさしいスタッフがおもてなし。
できるだけ“痛くしない治療”で
歯のお悩みを癒やします。
院長が治療
治療・説明のばらつきや
食い違いが起きにくい
無痛治療対応
歯科麻酔医が在籍
※インプラントや外科手術が対象
お知らせ
オンラインでのご予約
Reserve 初めて受診される方へ
受診をご希望される内容をお選びください
直近の予約可能日時
インフォメーション(診療時間・アクセス)
INFORMATION
JR武蔵小金井駅から徒歩2分に位置する武蔵小金井カクタスデンタルクリニックでは、日曜・祝日を除く平日と土曜日に診療を行っております。地域の皆さまが安心して通院いただけるよう、快適な院内環境と丁寧なスタッフがお待ちしております。急患診療も受け付けており、保険診療各種にも対応しております。インプラント治療はもちろん歯の痛みやトラブルについてお気軽にお問い合わせください。
診療時間について
| 診療時間 | 月 | 火 | 水 | 木 | 金 | 土 | 日 |
|---|---|---|---|---|---|---|---|
|
9:30-13:00 |
|||||||
|
14:30-18:30 |
診療時間
午前9:30-13:00/午後14:30-18:30
休診日
日曜祝日
アクセス方法
-
〒184-0004 東京都小金井市本町5丁目9-6 GoogleMap
-
JR武蔵小金井駅から徒歩2分
-
医院横に駐車場4台完備
- アクセス詳細はこちら
ご予約方法
歯の痛みトラブルは
お気軽にお問合わせを
急患診療受入中
保険診療各種対応
お電話から
042-316-3977
受付時間:午前9:30-13:00
午後14:30-18:30
WEBから
24時間WEB予約
忙しい方におすすめです!
当院のコンセプト
Concept
患者さんに対し親身であること、
そして
プロであることを大事に。
武蔵小金井駅から徒歩2分の歯医者
武蔵小金井カクタスデンタルクリニック
院内のご紹介
Inside the Clinic
五ツ星ホテル風の
ラグジュアリーな院内
落ち着いた照明、洗練されたインテリア。
まるで高級ホテルに訪れたかのような上質な空間で診療を受けていただけます。
歯医者の「緊張」や「不安」を少しでも和らげたい。そんな想いから、空間づくりにもこだわりました。
診療メニュー
診療内容
ふだんの虫歯治療から、
難症例のインプラントまで
どんなお悩みも
お聞かせください
武蔵小金井カクタスデンタルクリニックでは、各種保険適用の歯科治療からインプラント治療などの高度な技術を要する歯科治療まで幅広く対応しております。患者さま一人ひとりのお悩みに寄り添い、治療内容や費用について丁寧にご説明したうえで、安心して受けていただける治療を提供いたします。お口の健康に関するご相談は、お気軽にお問い合わせください。
-
虫歯治療痛みを抑えた治療で
歯を守る -
歯周病治療インプラントを
長持ちさせるために -
ホワイトニング自然で美しい白い歯へ
-
インプラント60分以上の
カウンセリングを実施 -
セラミック見た目も噛み心地も
自然に仕上げる -
入れ歯お口にぴったり合う
入れ歯を制作 -
歯科恐怖症不安に寄り添う
やさしい歯科治療を -
マタニティ歯科妊娠中のお口を
やさしくサポート -
ボツリヌストキシン注射食いしばり・歯ぎしりを
やわらげる治療 -
親知らずの抜歯痛みや腫れに配慮した
親知らずの抜歯 -
根管治療歯を残すための
精密な根の治療 -
矯正歯科歯並びを整えて
美しい口元へ -
歯科口腔外科お口まわりの外科処置も
安心して相談 -
歯のクリーニング(予防歯科)清潔なお口を保つ
予防ケア習慣
当院が選ばれる理由
選ばれる6つの理由
精密診断と分かりやすい説明で、
納得の治療を
ホテルライクな個室空間で、
心地よいひとときに
患者さまに安心して歯科医院にご来院いただき、歯科治療を受けていただけるよう、痛みを最小限に抑えた歯科治療を目指しております。武蔵小金井の地域に密着した歯科医療を提供し、インプラント治療をはじめ、患者さまの立場に寄り添った治療を心がけています。歯やお口まわりのお悩みや気になることがございましたら、どうぞお気軽にご相談ください。
歯医者が苦手な方も安心。
痛みに配慮した“やさしい治療”
「歯の治療は痛い」「怖いから通えない」そんな思いを抱える方でも安心してご来院いただけるよう、当院では痛みに配慮した“やさしい治療”を行っています。“やさしい治療”では、局所麻酔の前に表面麻酔や細い注射針を使用し、注射の痛みを感じにくくします。また、必要に応じて「日本歯科麻酔学会認定医」を取得した医師による静脈内鎮静法(リラックス麻酔)も実施します。歯科恐怖症の方や嘔吐反射が強い方、長時間の歯科治療に不安を感じる方でもぜひご相談ください。※痛みには個人差があります。
“すべての治療を院長が担当”。
ばらつきのない診療体制で治療をご提供
当院では、すべての患者さまの診療を院長が直接担当しています。初診から治療完了まで責任を持って対応するため、治療のばらつきや説明の食い違いがなく、一貫した診療を受けていただける環境です。また、治療の精度を高めるために環境の改善にも力を入れており、常に満足いただける体制を目指しています。
AI解析や3Dシミュレーション、CT連動のナビゲーションシステムなど多様な機器を導入
AI解析や3Dシミュレーションを活用し、実際に状態を見ていただきながら治療内容を担当医がわかりやすくご説明します。また、インプラント治療においては、CT画像と連動したナビゲーションシステムを採用し、骨や神経の位置を正確に把握できる環境を整えています。そのほか、口腔内スキャナーによるデジタル印象(歯や歯列の3Dデータ)の導入によって、従来の型取りが苦手な方にも対応しています。
“じっくり話せる”歯医者。専用のカウンセリングルームで納得いくまでご説明
初診・再診にかかわらず、必要に応じてカウンセリング時間を確保。専用のお部屋で、患者さまのお悩みやご希望をしっかり伺い、治療内容を丁寧にご説明いたします。わかりにくい専門用語は使わず、患者さまの立場に立ったコミュニケーションを心がけています。「よくわからないまま治療が進む」といった不安がないよう、納得して通っていただける環境を整えています。
全室個室・ファミリールーム完備の
プライベート空間で、リラックスした診療を
当院は全室が個室設計となっており、周囲の目や音を気にせず治療を受けていただける環境です。小さなお子さま連れの方には、キッズスペース付きのファミリールームもご用意しました。プライバシーと快適性を大切にし、どなたでも安心してご来院いただける環境作りを目指しています。
“行きやすい・続けやすい”がそろった歯科医院。スマホ予約&駅チカ&駐車場完備。
当院はJR武蔵小金井駅から徒歩2分、無料駐車場も4台分完備しており、電車でも車でも通える立地にあります。また、スマホから24時間予約・変更ができるオンライン予約システムや、デジタル診察券も導入済みで、受付のために紙の診察券を持ち歩く必要もありません。
当院のポリシー
Our
Dental
Policy
くつろぎのひとときに。
当院は、”五ツ星の歯医者”を目指しています。治療の時間をただの通院ではなく、”心から安心できる、くつろぎのひととき”に変えること。それが私たちのポリシーです。
痛みに配慮した
“やさしい治療”
コンシェルジュ品質の
丁寧なカウンセリング
ホテルのようなくつろぎ空間
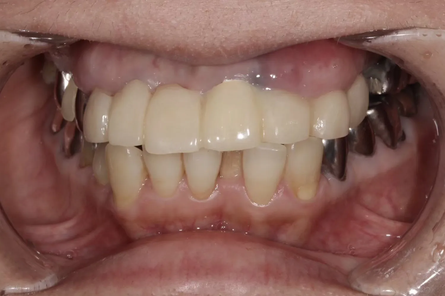
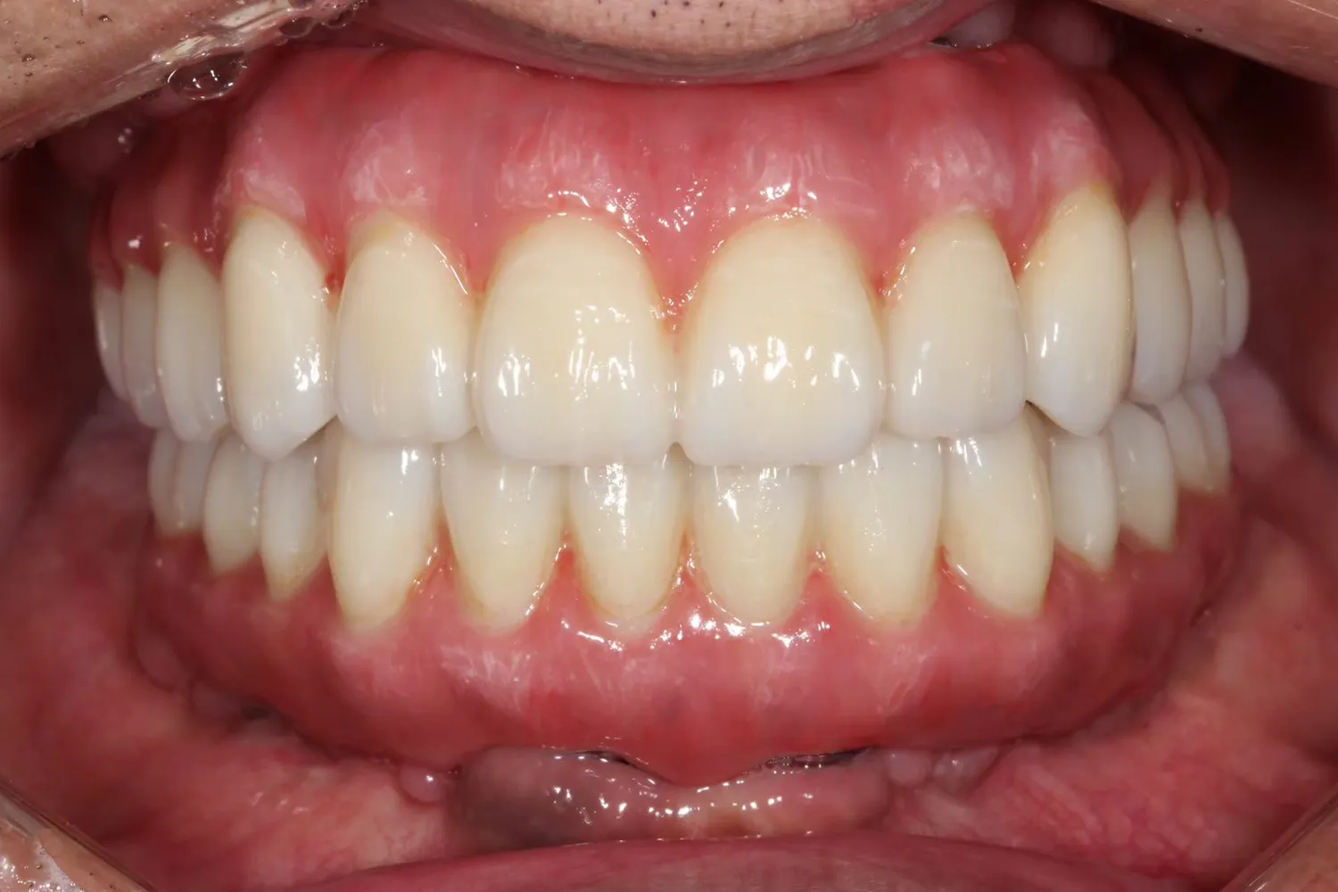
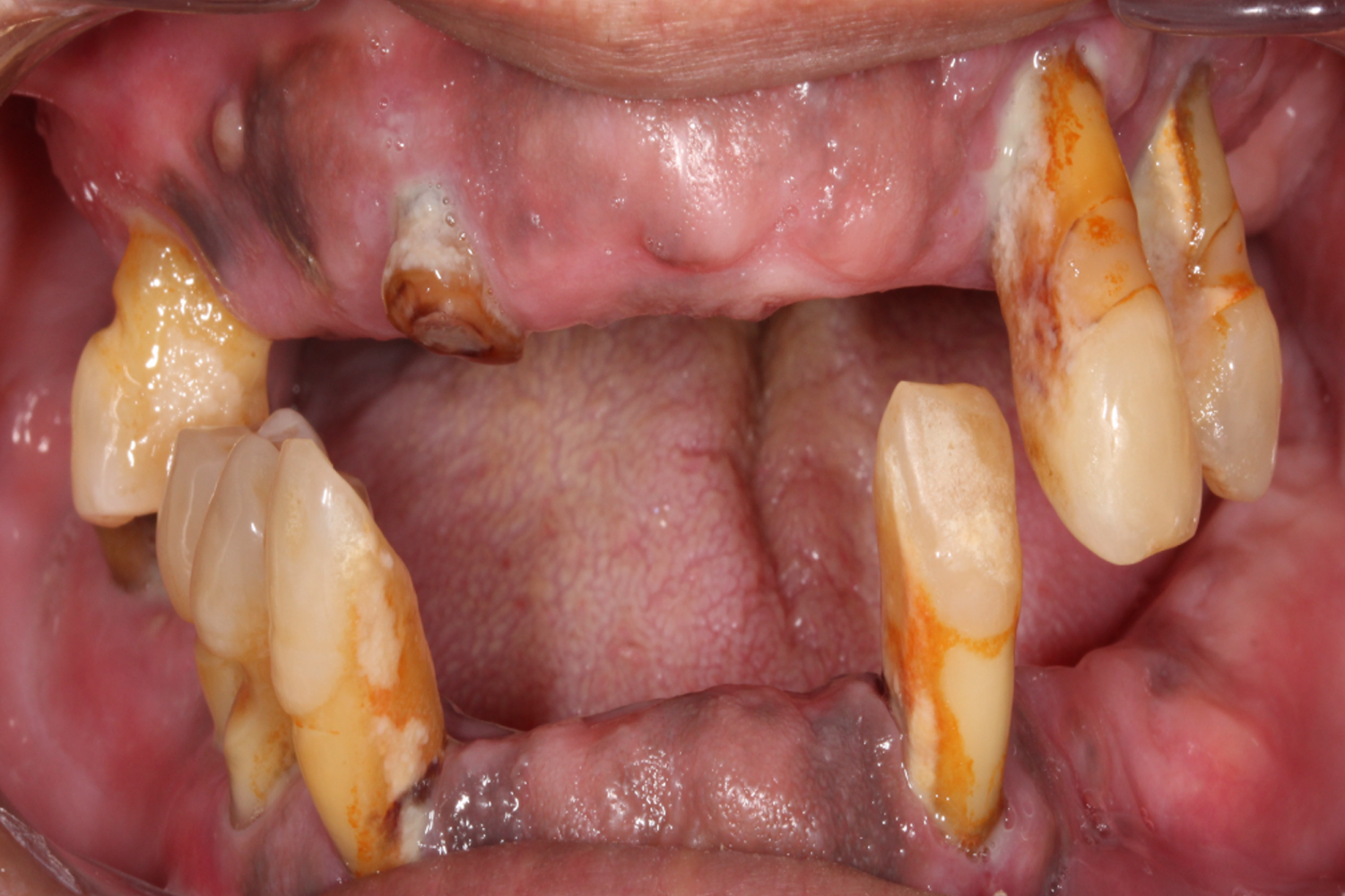
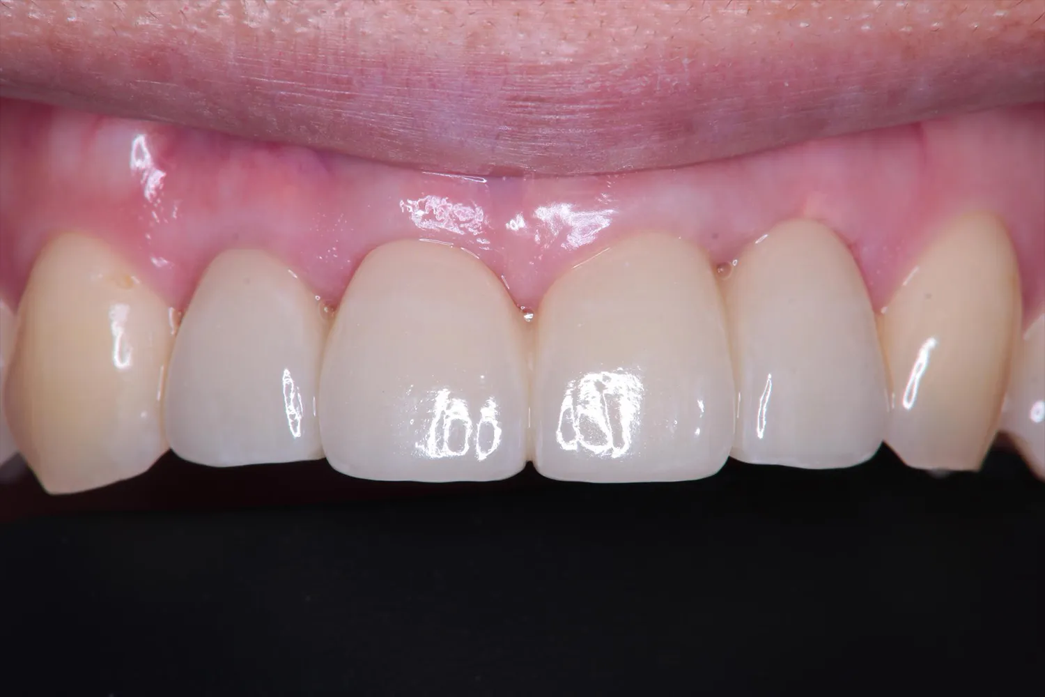
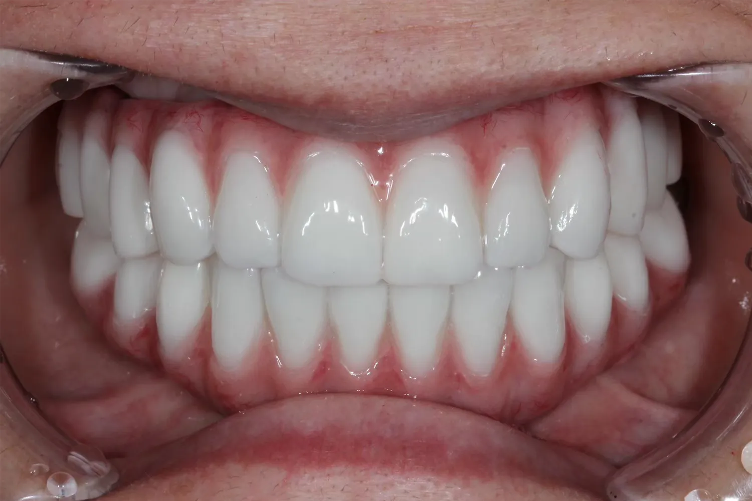
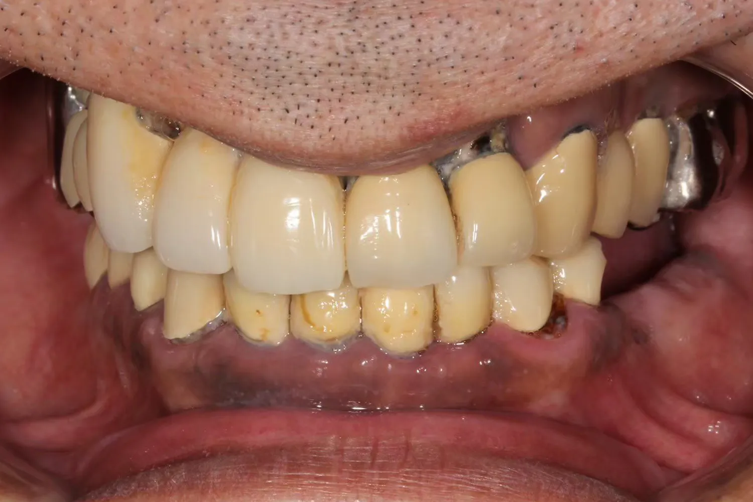
症例紹介
武蔵小金井カクタスデンタルクリニックでは、患者さま一人ひとりの状態に合わせた詳細な診査・診断を行い、負担を最小限に抑えた治療計画を立案します。インプラント治療に対する不安がある方にも安心して通院していただけるよう、落ち着いた院内環境や最新設備をご用意しております。インプラントを検討されている方は、まずはお気軽にご相談ください。
ドクター紹介
武蔵小金井カクタスデンタルクリニック院長
安田 佑
明海大学歯学部卒業
埼玉県大手法人歯科医院勤務
安藤歯科インプラントクリニック 院長
インプラントメーカーネオデント 講師
お口の健康チェックから、
どうぞお気軽に
当院では多くの方にストレスなく通院いただけるよう、お一人おひとりのご要望をしっかりと伺い、ライフスタイルや価値観に沿った治療計画を立案しております。お仕事のご都合で通院する時間が取れない方には「なるべく回数を抑えた治療法」を、歯科治療恐怖症の方には「なるべく削らず、痛みの少ない治療法」をご提案いたします。まずは、お口の健康チェックから、どうぞお気軽にお越しください。
歯科医療の未来のために。
セミナーに登壇しました
歯科医療の発展に貢献するため、講演やセミナー活動にも力を入れております。これまで培ってきたインプラント治療の知識と技術を、多くの先生方へ共有し、臨床現場へ還元しています。
CACTUS DENTAL CLINIC
YU YASUDA
当院の設備
Clinic
診断から治療まで、
精度と快適さにこだわった
院内設計
小さなお子さまからご高齢の方まで、安心して通院できる地域の歯医者として、院内設備や空間づくりにもこだわっています。CT連動のナビゲーションを活用したインプラントや、鎮静麻酔を用いたフルマウス治療など幅広いニーズに対応し、AI解析と3Dシミュレーションでわかりやすくご説明いたします。
当院のInstagram
治療事例のご紹介








