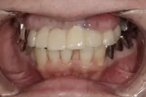
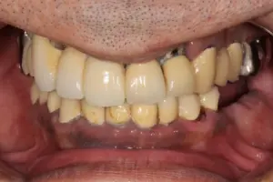
症例紹介
こちらは症例ページです。さまざまな治療の実例を掲載し、治療の流れや効果をご紹介します。
こちらは症例ページです。さまざまな治療の実例を掲載し、治療の流れや効果をご紹介します。
JR武蔵小金井駅から徒歩2分の好アクセスに位置する当院では、日曜日と祝日を除く平日と土曜日に診療を行っております。地域の皆さまが安心して通院できるよう、院内環境やスタッフの対応にも配慮しておりますので、お口の健康に関するお悩みはお気軽にご相談ください。
| 診療時間 | 月 | 火 | 水 | 木 | 金 | 土 | 日 |
|---|---|---|---|---|---|---|---|
|
9:30-13:00 |
|||||||
|
14:30-18:30 |
診療時間
午前9:30-13:00/午後14:30-18:30
休診日
日曜祝日
〒184-0004 東京都小金井市本町5丁目9-6
JR武蔵小金井駅から徒歩2分
医院横に駐車場4台完備
各種保険取り扱い初診費用はおおよそ 3,000〜5,000円
各種保険取り扱い初診費用はおおよそ
3,000〜5,000円
(保険適用3割負担の場合。また症状・検査内容により多少変動いたします)
(保険適用3割負担の場合。また症状・検査
内容により多少変動いたします)
歯の痛みトラブルは
お気軽にお問合わせを
デンタルローンについて
デンタルローン
について
医療費控除について
医療費控除
について
お支払いについて