虫歯治療について
虫歯治療とは
虫歯治療とは、酸によって溶かされたり破壊されたりした歯の部分を丁寧に取り除き、人工の材料を使ってもとの形や機能に修復する治療のことです。虫歯治療には、大きく分けて以下の3つの大切な目的があります。
- 痛みや不快感を取り除く
- 歯の機能(しっかりと噛める状態)を取り戻す
- 虫歯の再発を防ぎ、お口の健康を守る
初期段階であれば、虫歯の部分だけを少し削って詰め物をする負担の少ない治療で済みます。しかし、進行してしまうと、歯の神経を取り除く「根管治療」や、全体を覆う「被せ物」が必要になります。
さらに悪化すると、残念ながら歯を抜かなければならない(抜歯)ケースもあります。ごく初期の「要観察」の段階を除き、一度できてしまった虫歯は風邪のように自然に治らないからこそ、できるだけ早い段階での治療が何よりも望ましいのです。
虫歯の早期発見・治療のメリット
虫歯は「痛くなってから」ではなく「早めに見つけて治す」ことで、患者様の心身の負担も、時間や費用の負担も大幅に軽減できるなど、たくさんのメリットがあります。
01.
痛みが出る前に治療できる
虫歯は初期段階では自覚症状がほとんどありません。初期の虫歯は、神経から遠い歯の表面(エナメル質)にとどまっているため、痛みを感じにくいからです。早期に治療をはじめれば、強い痛みを経験する前にスムーズに処置を終えられます。
02.
健康な歯を削らずに済む
虫歯を早期に見つけて治療すれば、ご自身の健康な歯をできるだけ多く残せるのもメリットです。残念ながら歯は一度削ったり抜いたりしてしまうと元には戻りません。将来にわたってご自身の歯で食事を楽しむためにも、早期治療が重要です。
03.
何度も通院しなくて済む
初期の虫歯であれば1〜2回の通院での治療完了も珍しくありません。一方、進行して神経の治療が必要になると3〜5回程度、長ければ1〜2か月かかるケースもあります。早期発見は、通院負担の軽減に直結します。
04.
トータルの治療費を抑えられる
虫歯の早期治療は、経済的な負担(トータルの治療費)を抑えるのにも直結します。進行して根管治療や抜歯後の処置が必要になると、費用・期間ともに増えてしまいます。交通費や時間の面でも、早めの受診が有利です。
当院の虫歯治療について
当院では、患者様一人ひとりのお口の状態をしっかりと確認し、ご希望に寄り添いながら最適な治療計画を立て、できる限り「痛みの少ない治療」を心がけております。
麻酔注射の痛みを最小限に抑えるために、事前に歯茎に「表面麻酔」を塗布したり、薬液をゆっくり一定のペースで注入できる「電動麻酔器」を使用したりと、さまざまな工夫を行っています。
当院の目標は「虫歯を削って詰めて終わり」ではありません。治療後も長期にわたって歯の健康を維持していただくためのサポートを大切にしています。そのため、再発を防ぐための正しい歯磨き(ブラッシング)の指導や、定期検診による予防の重要性についても丁寧にお伝えいたします。
「歯がしみる」「ちょっと違和感がある」など、少しでも気になることがあれば、いつでもお気軽にご相談ください。治療の内容や費用、期間についても事前にわかりやすくご説明し、ご納得いただいた上で治療をスタートいたします。
痛みに対する配慮
麻酔の前に表面麻酔を塗布し、麻酔液をゆっくりと注入します。細い麻酔針を使用し、患者さまにとって痛みが少なくなるよう細心の注意を払い治療を行なっております。
ご予約方法
歯の痛みトラブルは
お気軽にお問合わせを
お電話から
042-316-3977
受付時間:午前9:30-13:00
午後14:30-18:30
WEBから
24時間WEB予約
忙しい方におすすめです!
虫歯の段階に応じた当院の治療内容
虫歯は、進行度合いによって「C0」から「C4」までの5つの段階に分類されます。それぞれの段階で現れる症状と、当院での治療方法について詳しくご説明します。
C0(ごく初期の虫歯)
C0は、虫歯のもっとも初期の段階です。歯の表面のエナメル質からミネラル分が溶け出しはじめている(脱灰)状態です。まだ歯に穴は開いておらず、目に見える変化もほとんどありません。
C0の虫歯の段階では、歯を削る必要はありません。適切なケアで元の健康な状態に戻せる(再石灰化)可能性があります。また、定期検診でこの段階を見つけられると、削らずに虫歯の進行を食い止められます。

主な症状
C0の主な症状は次のとおりです。
- 歯の表面に白っぽく濁った斑点が見える
- 痛みやしみるなどの自覚症状はまったくない
- 歯ブラシの毛先が少し引っかかるように感じる
治療方法
C0の治療方法は次のとおりです。
- 歯科医院での専門的なクリーニング
- フッ素塗布による歯の修復(再石灰化)の促進
- ご自宅での正しいブラッシング方法の指導
- 食生活(おやつの食べ方など)の改善アドバイス
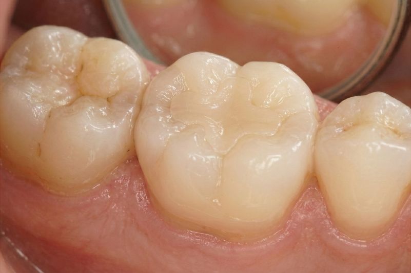
C1(エナメル質の虫歯)
C1は、虫歯が歯の表面の硬い層(エナメル質)にとどまっている段階です。基本的に痛みはありませんが、歯の表面に小さな穴が開き始めます。
C1の治療は、通常1〜2回で終わります。神経から遠いため、麻酔を使わなくても痛みをほとんど感じずに治療できる状態でもあります。

主な症状
C1の主な症状は次のとおりです。
- 歯の表面が白っぽく濁ったり、薄い茶色や黒に変色したりする
- 小さな穴や凹みが見られる
- 冷たいものや甘いものを食べた時に、わずかな違和感やしみる感覚がある
治療方法
C1の治療方法は次のとおりです。
- 虫歯部分だけを精密に取り除く
- コンポジットレジン(歯の色に似た白いプラスチック素材)を詰める
- 噛み合わせを調整し、表面をきれいに磨く
C2(象牙質の虫歯)
C2は、虫歯がエナメル質を突き抜け、その下にある少し柔らかい層(象牙質)にまで進行した段階です。象牙質には神経につながる細い管があるため、はっきりとした自覚症状が現れはじめます。
虫歯の範囲が大きい場合は、コンポジットレジンや金属、セラミックのインレーなどの型取りと装着で2回以上の通院が必要になります。この段階ならまだ神経を残せる可能性が高いので、「しみる」と感じたらすぐに受診してください。

主な症状
C2の主な症状は次のとおりです。
- 歯に明らかな穴が開いており、茶色や黒色に変色している
- 冷たいものや甘いものがはっきりと「しみる」
- 穴に食べ物が詰まりやすくなる
- 時々、鈍い痛みを感じやすくなる
治療方法
C2の治療方法は次のとおりです。
- 麻酔をして、虫歯部分を完全に取り除く
- 深い場合は、神経を保護するお薬(裏層)を敷く
- 型取りをして詰め物を作製し、後日装着する
C3(神経に達した虫歯)
C3は、虫歯が象牙質も突き抜け、歯の中心にある神経(歯髄)にまで達してしまった重症の段階です。この状態になると、激しい痛みを伴いやすくなります。
根管治療は繊細な作業であり、清掃・消毒を確実に行うため、通常3〜5回程度の通院が必要になります。期間も費用もかかってしまうため、C3になる前に治療するのが理想です。

主な症状
C3の主な症状は次のとおりです。
- 何もしていなくてもズキズキと激しく痛む(自発痛)
- 冷たいものだけでなく、熱いものもしみる・痛む
- 噛むと痛い
- 夜、寝ている時に痛みが強くなる
- 鎮痛剤を飲んでも痛みがなかなか治まらない
治療方法
C3の治療方法は次のとおりです。
- 虫歯部分を削り、感染した神経を取り除く(抜髄)
- 歯の根の中(根管)を専用の器具と薬液で徹底的に清掃・消毒する(複数回行います)
- 無菌状態になった根の中に、防腐剤となる薬剤を隙間なく詰める(根管充填)
- 歯を補強するための土台を作る
- 全体を覆う被せ物(クラウン)を装着する
C4(末期の虫歯)
虫歯が歯の根の部分まで達した最終段階です。
C4の段階では、痛みは一時的に和らぐものの、時間の経過に応じてさらに強い痛みを引き起こします。また、歯を保存できるかは状況次第です。保存が可能な場合は根管治療を行いますが、保存が難しい場合は抜歯となります。

主な症状
C4の主な症状は次のとおりです。
- 歯の大部分が崩壊している
- 歯茎に膿の袋(歯肉膿瘍)ができる
- 顔が腫れる
- 神経が壊死するため一時的に痛みが和らぐ
- 歯茎がポッコリと腫れたり、顔まで腫れたりする
- 噛むとズーンと重い痛みがある
- 強い口臭の原因になる
治療方法
C4の治療方法は次のとおりです。
歯の根の長さや状態が良ければ、時間と手間をかけて根管治療を行い、被せ物をして歯を残せます。しかし、保存が難しいと判断された場合は、残念ながら「抜歯」です。抜歯後は、ブリッジ、入れ歯、インプラントなどで失った歯の機能を補います。
虫歯は早期発見・早期治療が何よりも重要です。定期的な検診を受け、小さな変化にも注意を払いましょう。痛みがなくなったからといって治ったわけではなく、放置すると、たまった膿から細菌が全身に回る危険性もありますので、早めの受診をおすすめします。
当院で受けられるそのほかの治療内容
当院では、基本的な虫歯治療だけでなく、患者様のご希望(見た目を白くしたい、長持ちさせたい等)や症状に合わせた幅広い自費による治療オプションもご用意しております。
レジン・インレー
軽度から中等度の小さな虫歯(C1〜C2)を削った後の穴を埋める治療です。
当院では、患者様の歯の状態やご希望に合わせて最適な充填材を選択します。見た目を重視される方には、天然歯に近い色調のコンポジットレジンやセラミックインレーも人気です。

| 種類 | 特徴 | 適応となるケース | 耐久性の目安 |
|---|---|---|---|
| コンポジットレジン (保険適用) |
・歯と同じ色のプラスチック素材 ・直接お口の中で詰めて光で固める ・通常1回で終わる |
・小さな虫歯 ・前歯の虫歯 |
3〜5年程度 |
| メタルインレー (保険適用) |
・いわゆる「銀歯」 ・型取りをして作る ・強度が非常に高い |
・奥歯の中〜大きな虫歯 ・強く噛みしめる癖がある方 |
5〜10年程度 |
| ゴールドインレー (自費診療) |
・金合金で作られた詰め物 ・適合性が高く、二次虫歯になりにくい ・適度な柔らかさがあり噛み合う歯に優しい |
・奥歯の中〜大きな虫歯 ・長持ちさせたい方 |
10〜15年程度 |
| セラミックインレー (自費診療) |
・陶器(セラミック)で作られた白い詰め物 ・天然の歯のような美しさと透明感 ・変色や汚れの付着が少ない |
・銀歯が気になる方 ・金属アレルギーがある方 |
7〜10年程度 |
クラウン(被せ物)
中等度から重度の虫歯(C2〜C4)や、神経を取って脆くなった歯を保護し、噛む力を回復するための治療です。
患者様の噛み合わせの強さ、お口の中の状態、そして「どこまで見た目にこだわるか」をお伺いし、最適な素材をご提案いたします。前歯など見た目が気になる部位には、天然歯に近い見た目のオールセラミックやジルコニアをお選びいただくことも可能です。

| 種類 | 特徴 | 適応となるケース | 耐久性の目安 |
|---|---|---|---|
| 金属冠 (保険適用) |
・全体が金属(銀色)の被せ物 ・割れる心配がない |
・奥歯 ・見た目より強度を優先する方 |
10〜15年程度 |
| 前装冠 (保険適用) |
・金属の枠組みの表側だけを白いプラスチックで覆ったもの ※前歯のみ保険適用 |
・前歯 ・保険の範囲で白くしたい方 |
7〜10年程度 |
| オールセラミック (自費診療) |
・すべて陶器(セラミック)でできている ・非常に美しく、変色しない ・歯茎が黒ずむ心配がない |
・前歯など目立つ部分 ・最高の審美性を求める方 ・金属アレルギーの方 |
7〜10年程度 |
| ジルコニア (自費診療) |
・「人工ダイヤモンド」とも呼ばれる非常に硬いセラミック ・白くて美しく、かつ割れにくい |
・奥歯で白くしたい方 ・歯ぎしりがある方 ・金属アレルギーの方 |
10〜15年程度 |
総入れ歯
全ての歯を失ってしまった場合に使う入れ歯です。顎の裏面も覆うような大きな入れ歯のことを指します。すべての歯を人工歯によって補います。
部分入れ歯
歯を失った部分にのみ使用する入れ歯です。歯が1本でも残っていれば、部分入れ歯を作ることになります。残っている健康な歯を利用して入れ歯を固定します。
保険適用の入れ歯は、費用を安く抑えられるメリットがありますが、「固定する金属のバネが見えてしまう」「少し厚みがあり違和感が出やすい」という側面もあります。
一方、自費診療の入れ歯には、バネがない目立たないタイプ(ノンクラスプデンチャー)や、金属を使って非常に薄く作れるタイプ(金属床義歯)などがあり、見た目の美しさや食事の温度の感じやすさ、装着感の良さに優れています。
当院では、多様な種類の入れ歯を取り扱っておりますので、患者様のライフスタイルやご予算に合わせて最適なものをお選びいただけます。
入れ歯治療についてはこちら抜歯
抜歯は、どうしても治療して残すことが難しい歯を、安全に抜き取る処置です。当院でも可能な限り歯を残すよう全力を尽くしますが、以下のような場合は、周囲の健康な歯や顎の骨を守るために抜歯が必要な決断となります。

- 虫歯が深くまで進行し、歯の根っこが割れたり崩れたりしている(C4)
- 歯の根の先に大きな膿の袋ができ、治療しても治らない
- 重度の歯周病で歯がグラグラになり、周りの骨を溶かしている
- 親知らずが斜めや横向きに生えている
- 親知らずが手前の歯を虫歯にしたり痛みの原因になったりしている
歯を抜いた後は、そのまま放置すると隣の歯が倒れてきたり、噛み合わせが狂ってしまったりするため、以下のような方法で「歯を補う治療」を行います。
| 治療法 | 特徴とメリット | デメリット |
|---|---|---|
| ブリッジ | ・失った歯の両隣を削って土台にし、橋渡しのように連続した人工歯を入れる ・固定されるため違和感が少なく、自分の歯のように噛める |
・土台にするために、健康な両隣の歯を削らなければならない ・ダミーの歯の下に汚れが溜まりやすい |
| 入れ歯 | ・取り外し式の人工歯 ・両隣の歯を大きく削る必要がない ・手術不要で保険適用なら安価 |
・お口の中での違和感が出やすい ・硬いものが噛みづらいことがある ・毎日の洗浄などのお手入れが必要 |
| インプラント (自費診療) |
・顎の骨に人工の根(チタン)を埋め込み、その上に人工歯を被せる ・天然の歯とほぼ同じ見た目と噛み心地 ・周りの歯に一切負担をかけない |
・外科的な手術が必要 ・骨と結合するまで治療期間が長くかかる ・保険が効かないため高額になる |
抜歯後の選択肢については、それぞれのメリット・デメリットを丁寧にわかりやすくご説明し、ご納得いただいた上で治療を進めていきます。
根管治療
根管治療は、虫歯が深く進行して神経(歯髄)まで達してしまった場合や、すでに神経が死んで根の先に膿が溜まっている場合に行う、歯の土台部分の治療です。「歯の根の治療」「神経を抜く治療」とも呼ばれます。

| 治療名 | 内容 | 対象となる状態 | 通院回数の目安 |
|---|---|---|---|
| 抜髄(ばつずい) | 炎症を起こして激しく痛む神経を取り除き、根の中をきれいにする | 虫歯が神経まで達した(C3)状態 ズキズキとした強い痛みがある |
2〜3回 |
| 感染根管治療 | すでに死んで腐敗した神経や、根の先に溜まった膿・細菌を徹底的に消毒・除去する | 神経が死んでしまっている状態 根の先に膿の袋ができている |
3〜5回以上(状態による) |
| 根管充填 | 根の中が無菌状態になったら、再感染を防ぐために専用のゴムのような薬を隙間なく詰めて密閉する | 根管内の清掃・消毒が完了した仕上げの段階 | 1回 |
| 支台築造(土台作り) | 空洞になった歯の内部に、被せ物を支えるための丈夫な芯(土台)を作る | 根管治療が終わり、被せ物を作る前の準備段階 | 1回 |
根管治療は、いわば家を建てるときの「基礎工事」にあたりますので、しっかり行わないといくら高価な被せ物をしても長持ちしません。
複数回の通院が必要となりますが、ご自身の歯を残すための大切な治療です。当院では、患部を拡大して精密に治療できる機器(マイクロスコープ等)などを使用し、再発の少ない根管治療に努めています。
費用の目安
保険診療(3割負担の場合)で虫歯治療を行った場合の、一般的な費用の目安は以下のとおりです。実際の費用は、虫歯の深さ、使用する材料、お口全体の状態などによって前後いたします。
| 治療内容 | 窓口でお支払いいただく金額の目安(3割負担) |
|---|---|
| 初診時の費用 (検査、レントゲン撮影、診断などを含む) |
3,000円〜4,000円程度 |
| 軽度〜中等度の虫歯 (その日に白いプラスチックを詰める治療) |
1,500円〜3,000円程度(1本あたり) |
| 中等度〜大きめの虫歯 (型取りをして金属のインレーを入れる治療) |
3,000円〜5,000円程度(1本あたり) |
| 根管治療(神経の治療) | 1回あたり数千円程度(完了までトータルで10,000円前後) |
| 被せ物(クラウン) | 5,000円〜15,000円程度(使用する部位や金属によって変動) |
より見た目が美しく長持ちする「自費診療(保険適用外)」を選択された場合は、使用するセラミックや金属の種類によって数万円〜十数万円となります。
当院では、いきなり高額な治療を行うことは決してありません。検査後に、現在のお口の状態と必要な治療法、そしてそれにかかる「正確な費用の見積もり」を事前にしっかりとご説明いたします。ご不明な点は遠慮なくご質問ください。
料金表はこちらご予約方法
歯の痛みトラブルは
お気軽にお問合わせを
お電話から 042-316-3977 受付時間:午前9:30-13:00
午後14:30-18:30
WEBから 24時間WEB予約 忙しい方におすすめです!
治療の流れ
初診・カウンセリングと各種検査
まずは「どこが痛いか」「どんな希望があるか」をしっかりとお伺いします。その後、必要に応じてお口の中の視診、レントゲン撮影などを行い、正確な診断をくだします。 (※強い痛みがある場合は、痛みを抑える応急処置を最優先で行います)
診断結果と治療計画のご説明
検査結果をもとに、「現在どういう状態か」「どのような治療の選択肢があるか」「期間や費用はどれくらいか」をわかりやすくご説明します。患者様にご納得いただいてから治療をスタートします。
治療の実施
計画に沿って、痛みに十分配慮しながら治療を進めていきます。治療の途中でも「今何をしているのか」をお声がけし、不安を取り除きます。少しでも痛みを感じた時は、我慢せずにいつでも手を挙げてお知らせください。
経過観察・定期的なメンテナンス
治療が終わった後が、本当のスタートです。治療した歯を長持ちさせ、新たな虫歯を作らないために、ご自宅での正しいケア方法をお伝えし、数か月に1度の定期検診をご案内いたします。
よくある質問
-
保険証を忘れてしまったのですが、治療を受けられますか?
はい、保険証をお持ちでなくても治療自体は受けていただけます。 ただし、その日は保険を適用できないため、いったん治療費の全額(10割)をご負担いただくことになります(自費診療扱い)。
同月内に健康保険証をお持ちいただければ、保険適用分との差額をご返金いたします。詳しくは受付スタッフまでご相談ください。受診の際は、できる限り保険証やマイナンバーカードをお忘れなくお持ちください。
-
癒合歯(ゆごうし:2つの歯がくっついた歯)の虫歯も治療できますか?
はい、もちろん治療可能です。
癒合歯は2つの歯がくっついている境目に溝ができやすく、構造が複雑なため、普通の歯よりも虫歯になりやすいという特徴があります。治療が少し複雑になる場合もありますが、当院では癒合歯特有の形態をしっかり考慮し、丁寧に治療いたします。
-
風邪気味なのですが、歯の治療を受けても大丈夫ですか?
軽い鼻水や喉の痛み程度であれば、基本的には治療可能です。
なお、37.5度以上の発熱がある、咳が止まらない、体がだるいといった強い症状がある場合は、患者様ご自身の体調を優先し、また感染症予防の観点からもご予約の変更をお願いしております。体調に不安がある場合は、無理に来院されず、まずはお電話でご相談ください。
-
不妊治療中ですが、虫歯治療や麻酔、レントゲンは大丈夫ですか?
はい、不妊治療中でも虫歯治療は受けていただけます。むしろ、お口の中に虫歯や歯周病などの炎症があると、全身の健康や妊娠に悪影響を及ぼす可能性があると言われているため、早めに治しておくことを強くおすすめします。
通常の歯科用レントゲンや局所麻酔、痛み止めのお薬が不妊治療に影響することはほとんどありませんが、より安全に進めるため、問診時に「不妊治療中であること」を必ず歯科医師やスタッフにお伝えください。
-
妊娠中の虫歯治療は、いつの時期なら受けられますか?
妊娠中期(妊娠5〜7ヶ月頃のいわゆる「安定期」)に受けていただくのが最も安心・安全です。
妊娠初期はつわりがひどく、お口を開けているのが辛い方もおられます。また妊娠後期(臨月)になると、お腹が大きくなり、診療台で仰向けになる体勢が苦しくなったり、長時間の治療が早産のリスクにつながったりする可能性があります。
こうしたケースを含めて、緊急時を除き、初期や後期は応急処置にとどめるのが基本です。妊娠中にお口のトラブルを感じたら、我慢せずに早めにご相談ください。産婦人科の担当医の指示も確認しながら、母体と赤ちゃんに配慮した治療を行います。
-
1〜6歳の小さな子どもでも、虫歯治療はできますか?
はい、小さなお子様の虫歯治療も対応しております。乳歯の虫歯は進行が早く、永久歯の歯並びにも影響するため早期の治療が大切です。
小さなお子様は治療への恐怖心から泣いてしまったり、じっと動かずにお口を開けているのが難しかったりします。当院では、お子様のペースに合わせてトレーニングから始め、無理に押さえつけるような治療は極力行いません。「歯医者さんは怖くない場所」と思ってもらえるよう、優しく丁寧にコミュニケーションをとりながら進めていきます。
-
初めて受診するのですが、持ち物は何が必要ですか?
初診の際は、以下のものをご持参ください。
- 健康保険証 または マイナンバーカード(必須)
- お薬手帳(現在飲んでいるお薬がある場合、飲み合わせの確認に必要です)
- 各種医療証(乳幼児医療証、高齢者受給者証などをお持ちの場合)
- 他院からの紹介状(お持ちの場合のみ)
また、治療中はお口を大きく開けている時間が長くなるため、唇が乾燥しやすい方はリップクリームをお持ちいただくと安心です。
-
初回の診察では、具体的にどんなことをするのですか?
初回は「しっかりお話を聞き、お口の状態を正確に知ること」をメインに行います。
- 詳しい問診(現在の症状、お体の状態などのお伺い)
- お口の中のチェック(虫歯や歯茎のチェック)
- 全体的なレントゲン撮影(見えない部分の虫歯や根っこの状態の確認)
- 検査結果に基づいた、現状と治療方針のご説明
「ズキズキ痛い」「腫れている」といった急な症状でお困りの場合は、すぐに痛みを取り除くための応急処置を優先して行いますのでご安心ください。
-
何度も通うのが大変です。1回で終わらせることはできますか?
虫歯の程度によっては、1回で完了することも可能です。ごく初期の小さな虫歯(C1程度)であれば、その日のうちに少しだけ削って、白いプラスチックを詰めて1回で治療が終わるケースも少なくありません。
神経に達するような深い虫歯や、被せ物の型取りが必要な大きさの虫歯、また複数の歯に虫歯がある場合は、どうしても複数回の通院が必要になってしまいます。お忙しい方は、事前におおよその通院回数や期間をご相談いただければ、可能な限りスケジュールに配慮した治療計画をご提案いたします。
-
なぜ歯の治療は、何回かに分けて行うのですか?
安全で確実な治療を行い、患者様への負担を減らすためです。主に以下のような理由があります。
- 精密な製作物を作るため
型取りをしてから、歯科技工士がぴったり合う詰め物や被せ物を作るまでに数日〜1週間程度のお時間をいただきます。 - お口を開け続ける負担を減らすため
長時間口を開けっ放しにすると、顎が痛くなったり非常に疲れたりしてしまいます。 - 経過をしっかり確認するため
神経の治療などは、お薬を詰めた後に炎症がしっかり治まったかを確認してから次のステップに進む必要があります。
少し根気がいりますが、長く歯を持たせるために必要な手順ですので、ご理解いただけますと幸いです。
- 精密な製作物を作るため
-
治療が終わった後、その日はどのように過ごせばいいですか?
治療の後は、以下の点に少しだけ気をつけてお過ごしください。
- 麻酔が効いている間(治療後2〜3時間)
唇や頬の感覚が鈍くなっているため、誤って強く噛んで傷つけてしまったり、熱いもので火傷をしてしまう危険があります。麻酔が完全に切れるまでは、お食事はお控えください。 - 仮の詰め物や被せ物をしている場合
ガムやキャラメルなど粘着性のあるもの、極端に硬いものを噛むと外れてしまうことがあります。できるだけ反対側で噛むようにしてください。 - 痛み止めが出された場合
痛くなってきたら我慢せず、指示された用量・用法を守って服用してください。抜歯などをした日は、激しい運動や長時間の入浴、飲酒は血流が良くなり出血しやすくなるため控えてください。
- 麻酔が効いている間(治療後2〜3時間)
-
虫歯の治療はやっぱり痛いですか?怖くてなかなか行けません。
ご安心ください。現代の歯科治療は「痛みを最小限に抑える工夫」が進歩しています。 治療中に痛みを感じそうな処置の前には、しっかりと麻酔を効かせます。
また、その麻酔注射のチクッとする痛みすらも和らげるために、歯茎に塗るタイプの「表面麻酔」を使用したり、極細の針を使ったりと万全の対策を行っております。
「痛みが怖い」「昔の治療でトラウマがある」という方は、遠慮なく事前にお申し出ください。より慎重に、様子を伺いながらゆっくりと治療を進めさせていただきます。
-
歯の治療のなかで、一番痛いのはどんな時ですか?
患者様によって感じ方は異なりますが、一般的には以下の2つの場面で痛みを感じやすいと言われています。
- 麻酔の注射をする瞬間(当院では表面麻酔などでチクッとする痛みを和らげます)
- すでに神経が強く炎症を起こしている(激痛がある)歯に麻酔を効かせようとするとき
特に、ズキズキと腫れ上がっている状態だと、麻酔の液が患部に浸透しにくく、効きが悪くなることがあります。そのため、「痛くなる前」の早めの受診が、結果的に「痛い思いをしない」ための最善策となります。
-
処方されたロキソニン(痛み止め)を飲んでも痛みが治まらない時はどうすればいいですか?
我慢せず、すぐに当院へお電話にてご連絡・ご相談ください。お薬を飲んでも激痛が続く場合は、神経の炎症が非常に強く起きているか、中で膿の圧力が急激に高まっている可能性があります。状況をお伺いし、より強い鎮痛剤を処方するか、緊急の処置(膿を出すなど)を行うかを判断いたします。
【夜間などで受診できない場合の一時的な対処法】
- ズキズキと拍動するような痛みや腫れがある場合は、頬の外側から濡れタオルや冷えピタなどで軽く冷やしてください。(氷で急激に冷やしすぎないように注意)
- 血行が良くなると痛みが強くなるため、熱いお風呂は避けシャワーで済ませ、飲酒や激しい運動は控えて安静にしてください。
- 痛い方の歯で噛んだり、舌で触ったりして刺激しないようにしてください。
いずれもあくまで一時しのぎですので、翌朝早めに歯科医院を受診してください。
-
治療を受けたのに、かえって痛くなったり悪化している気がします。
ご不安にさせてしまい申し訳ありません。すぐに当院へご連絡ください。
神経の近くまで深く削った場合、治療直後は歯の神経が過敏になり、数日間〜数週間ほど冷たいものがしみたり、噛んだ時に違和感が出たりすることがあります(これは多くの場合、徐々に落ち着いていきます)。
しかし、以下のような場合は早急な対応が必要なサインかもしれません。
- ズキズキとした強い痛みが日増しに強くなる
- 歯茎や顔が大きく腫れてきた
- 熱が出てきた
- 噛み合わせが高く感じて、強く当たって痛い
我慢せずにすぐにご連絡いただければ、優先的に診察・調整をさせていただきます。
-
治療中に詰めてもらった「仮のフタ(綿やゴムのようなもの)」が取れてしまいました。
次の予約日を待たずに、なるべく早く当院へご連絡の上、ご来院ください。特に根管治療(神経の治療)の途中の場合、フタが取れて穴が開いたままになると、そこからお口の中の唾液や細菌が根の奥深くに入り込み、また最初から消毒をやり直さなければならなくなってしまいます。
市販の救急用のフタなどをご自身で詰めるのは、なかに細菌を閉じ込めてしまう恐れがあるためお控えいただき、できるだけ早めに受診して新しいフタを付け直させてください。
-
昔治療した銀歯や、プラスチックの詰め物がポロッと取れてしまいました。
取れてしまった詰め物・被せ物をご持参の上、なるべく早くご来院ください。取れたまま放置すると、象牙質という柔らかい部分がむき出しになり、そこからあっという間に虫歯が進行してしまいます。
場合によっては、噛み合わせのバランスが崩れ、隣の歯が傾いてくる原因にもなります。 取れた詰め物がそのままの形で戻せる状態であれば、少しの調整と接着剤ですぐに付け直せることもあります。
(※ご自身で瞬間接着剤などを使ってくっつけるのは、ズレて固まってしまったり、細菌を閉じ込めて内部で虫歯を大爆発させたりする危険があるため、絶対にやめてください)