武蔵小金井駅から徒歩2分の歯医者 武蔵小金井カクタスデンタルクリニック

JR武蔵小金井駅より徒歩2分

無料駐車場4台分あり

  • HOME
  • オールオン4の症例

オールオン4の症例

著者:安田佑

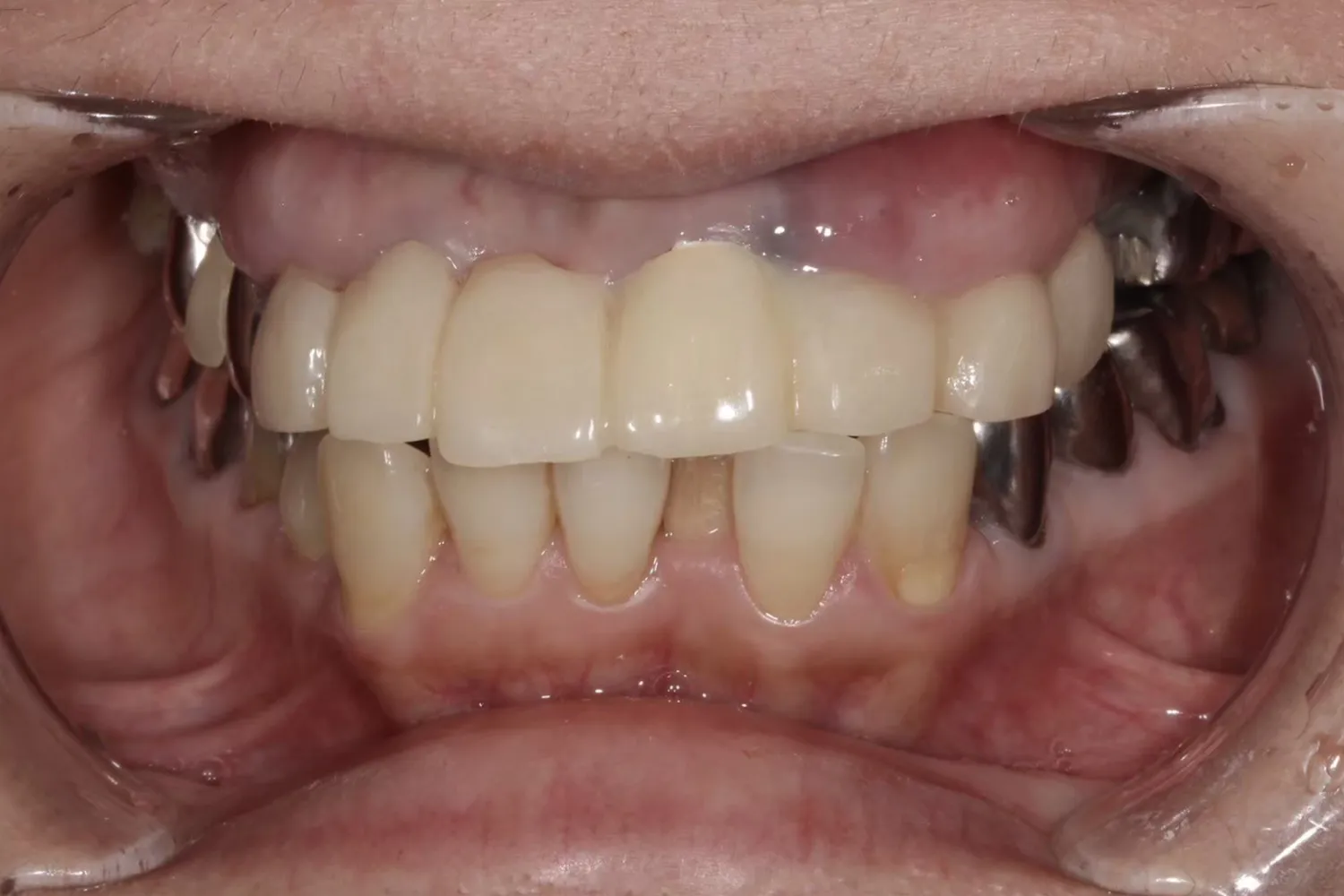
症例

治療前

治療後

主訴 歯茎が腫れて痛い、噛み合わせがおかしい、仮歯で長期間放置したためグラつく
治療内容 オールオン4
治療期間 4ヶ月
費用 約600万円
治療のリスク 手術後約2週間の痛み腫れ、手術直後の出血、仮歯による違和感、神経損傷

※記載の治療はすべて自由診療(保険適用外)です。詳しい治療内容やリスクについては、診療時に担当医より詳しくご説明いたします。

関連記事

カテゴリ

初めての方へ

当院では、口腔内スキャナーにて口腔内を撮影して、現状の拡大画像をモニターに映してご説明します。

INFORMATION

診療時間・ご予約

042-316-3977
診療時間

9:30-13:00

14:30-18:30

診療時間

午前9:30-13:00/午後14:30-18:30

休診日

日曜祝日

               

初めて当院を受診される方へ

各種保険取り扱い初診費用はおおよそ 3,000〜5,000円

各種保険取り扱い初診費用はおおよそ
3,000〜5,000円

(保険適用3割負担の場合。また症状・検査内容により多少変動いたします)

(保険適用3割負担の場合。また症状・検査
内容により多少変動いたします)

歯の痛みトラブルは
お気軽にお問合わせを

急患診療 受入中
保険診療 各種対応

デンタルローンについて

デンタルローン
について

医療費控除について

医療費控除
について

お支払いについて